Anatomi CT Scan Thorax

Anatomi CT Scan Thorax
Please wait 15 seconds...
Scroll Down and click on Go to Link for destination
Congrats! Link is Generated

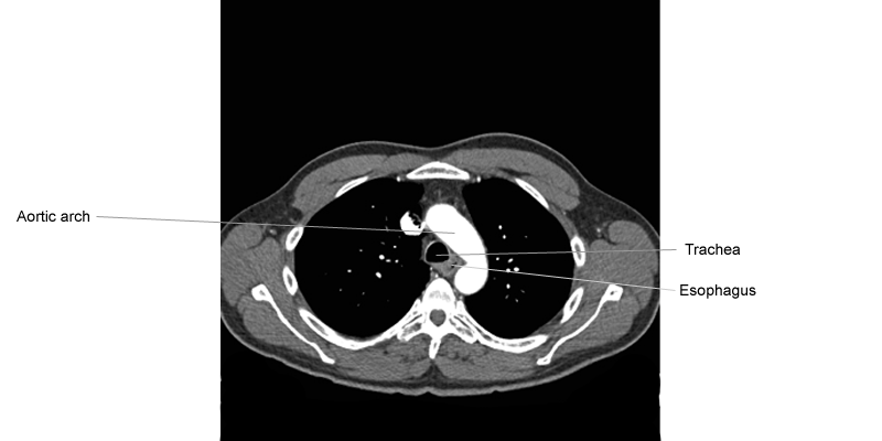
1. Axial Chest (Potongan Axial dari Thorax)

CT Scan Thorax
CT Scan Thorax
CT Scan Thorax
CT Scan Thorax

2. Coronal Chest (Potongan Coronal dari Thorax)

CT Scan Thorax

3. Sagital Chest (Potongan Sagital dari Thorax)

CT Scan Thorax


Related Posts

About the Author

Selanjutnya kalian mau di buatkan artikel tentang apalagi? Tuliskan pada kolom komentar.

Post a Comment

Cookie Consent
We serve cookies on this site to analyze traffic, remember your preferences, and optimize your experience.
Oops!
It seems there is something wrong with your internet connection. Please connect to the internet and start browsing again.
AdBlock Detected!
We have detected that you are using adblocking plugin in your browser.
The revenue we earn by the advertisements is used to manage this website, we request you to whitelist our website in your adblocking plugin.
Site is Blocked
Sorry! This site is not available in your country.